Dr. Jay Valenci, Dr. Dhaval Shah and Dr. Keyur Patoliya offer the Bioclear Matrix System to repair, restore and enhance your smile. Bioclear is designed to be noninvasive, helping you improve your oral health and smile without invasive or extensive procedures. Call Boyertown Family Dental at 610-367-1511 to schedule your consultation with our experienced dentists and learn more about Bioclear in Gilbertsville, Pennsylvania.

What is Bioclear?


The Bioclear Matrix System is a restorative and cosmetic treatment option that involves the use of specialized dental composite material to reshape and repair teeth. It is often recommended for misshapen, discolored or gapped teeth and is comparable to traditional crowns, veneers and bonding treatments in both appearance and durability. However, Bioclear also offers more flexibility for tooth contouring.

When you receive a treatment using the Bioclear system, our dentists will begin by cleaning your teeth thoroughly to remove biofilm and other contaminates. We will the place plastic matrices around your teeth and slightly beneath your gumline. This will ensure a natural and beautiful look after you complete your treatment. Our dentists will then apply the composite material to your teeth and shape and sculpt it to improve the appearance of your teeth.

Bioclear in Boyertown, PA

Our dentists may recommend the Bioclear Matrix System to:
– Close gaps and spaces between teeth:

before after
before after

– Fill triangles between teeth:

before after
before after

– Resize smaller teeth:

before after
before after

– Restore damaged, decayed or broken teeth:

before after
before after

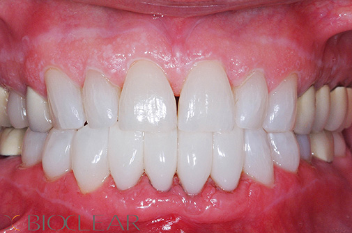
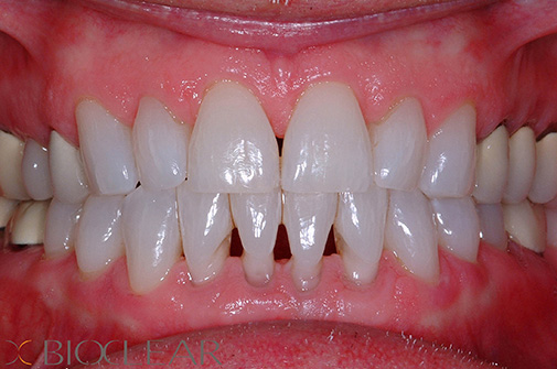
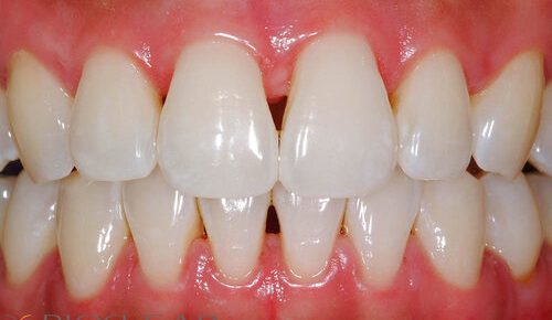
– Reshape an entire smile:

before after Bioclear in Boyertown, PA
after

Our dentists and team often recommend Bioclear treatments over more traditional restorative options because it is a more conservative overall treatment. Bioclear treatment requires little or no removal of your natural tooth structure, promoting better long-term results for your oral health and function as well as providing you with a beautiful, strong and long-lasting final result. In fact, you can expect your Bioclear results to last for up to 10 years if you are practicing good oral hygiene at home.

crowns
Additionally, Bioclear is less expensive than traditional dental crowns and veneers. However, keep in mind that Bioclear treatment is considered a cosmetic procedure. Most cosmetic dental treatments are not covered by dental insurance providers. Our office will bill dental decay removal to insurance providers, but the Bioclear composite portion of your treatment will be out-of-pocket.

We invite you to call our team to schedule an appointment and learn more about the benefits of the Bioclear Matrix System.