As our comprehensive dentists, Dr. Jay Valenci, Dr. Dhaval Shah and Dr. Keyur Patoliya, will always be committed to providing our patients with high-quality, individualized care at our dental office. We are delighted to get to know you on your dental journey and help you have excellent lifelong oral health through our dental care in Gilbertsville, Pennsylvania.
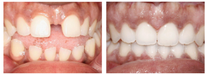
Dental Implants
When missing teeth prevent you from enjoying your smile, dental implants are here to save the day!
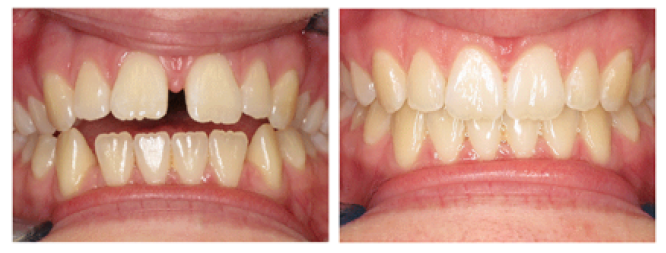
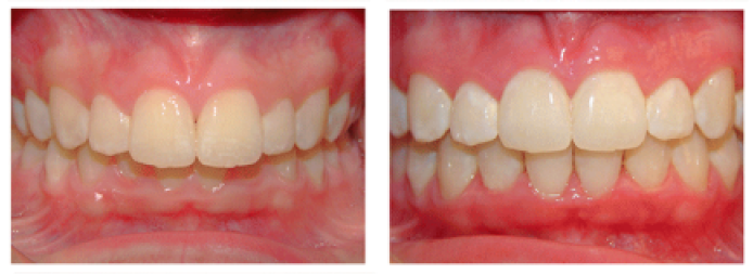
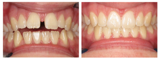
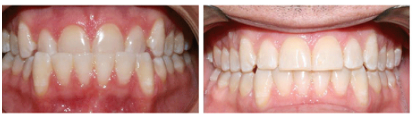
Invisalign®
Looking to straighten your smile? Our clear aligners may be the perfect solution for you!
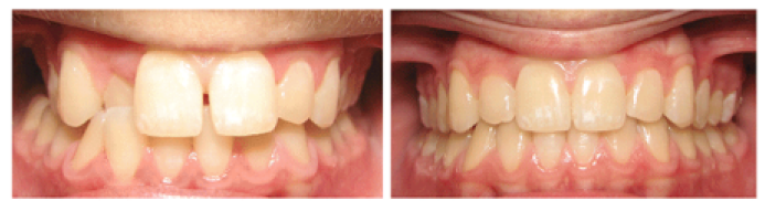
Full-Mouth Rehabilitation
Boyertown Family Dental wants you to enjoy your smile, and restoring it to its full glory is the first step.
Smile Stories
Ramya A.
American dental excellence has done a great job. We are nee to the area and the hygienist and the doctor all were so nice and caring. Wait time was almost none. Cleaning was fabulous. All the staff were so friendly.
Athena J.
My experiences at the office are always very good. My dentist has worked with me to make out of pocket expenses more affordable and the office staff, especially Tabitha, are always so friendly and helpful. They make a scary and painful experience (full implant procedure) more comfortable.
Robin K.
First visit as a new patient and was welcomed with a smile. Everyone including the front office staff, dental hygienist, and dentist were very nice, extremely helpful, and pleasant. Great experience!
Stephanie A.
Everyone was very kind and social able. They were very informative and answered all my questions leaving me feeling very comfortable. The dentist isn't my favorite place but had a great visit!





